カラスのフン 2020年4月改訂版

飛び交うカラスの群れ、過ぎ去った後に残された大量のフン。 たまに人の頭の上にも落下するのが鳥のフンだ。 何か病原体が含まれるのではないか? なんて心配になるものだ。そこでこのコーナーでは、カラスのフンにどんなものが含まれているのか調べてみよう。

カラスのフン

鳥のフンは左の画像のように目玉焼きのような形状をしている。

白い部分が尿(主に尿酸)で、茶色あるいは濃緑色の部分が便である。食べたものや体調によって便の色が変わる。

鳥類は尿を溜める膀胱がなく、便と尿が体内で混合されて排出されるのでこのような形になるのだ。


カラスのフン

鳥の診察をする獣医さんが毎回のように行う検便。

鳥は外見や行動から病状を判断しにくい。そのため便は重要な診断材料となる。

寄生虫をはじめ、細菌の分布などを調べて鳥の健康を管理するのだ。


カラスのフン

採取した便に生理食塩水を滴下し軽く撹拌する。

このときに用いるのは生理食塩水だけではなく、目的に応じて飽和食塩水やショ糖なども使用することがある。


カラスのフン

懸濁した便をスライドグラスに滴下する。


カラスのフン

そして「カバーグラス」という非常に薄いガラスを被せる。

なんとなく懐かしく思う人もいるだろう。そう、みんな理科の実験でやらされた経験があるはずだ。


カラスのフン

続いて光学顕微鏡で観察する。

ここまでの作業は非常に簡単で、道具も今ではネット通販で購入が可能だ。

さらに最近では中古の顕微鏡も安価で売られているため、一般家庭でも検便ができる時代になった。


  • [注意] 自分のペット以外の動物を診察することは獣医師法に抵触する可能性がある。 ただし、診断を目的としない研究目的の観察は可能。
  • カラスのフン

    これが倍率400倍(*最終倍率ではない)で観察したカラスのフンである。

    先ほどは一般人でも検便ができると説明したが、正確にいうとそれは難しい。 その理由は上の画像を見てもらうと分かるが、予備知識や経験がない状態で顕微鏡を覗いても像が読めないのである。 この写真には様々な代謝物や微生物に加えて未消化物など雑多なものが含まれるのだが、それを一つ一つ見分けなければいけないのだ。

    だが、難しいのは獣医さんにとっても同じことで、見落としは当然のようにある。だから顕微鏡検査で「陰性」の判定が出ても本当に陰性である証明にはならないのである。要するに「存在しないことの証明」は非常に難しいということだ。 逆に病原体を見つけてしまえば「陽性」という証明になる。


    カラスのフン

    マルで囲った部分は細菌が集団で存在する部分。矢印で示したのは単体で存在する細菌である。 経験を積むとこの画像から多くの情報を読み取ることができるのだが、像質は不鮮明で一般の人には分かりにくいものだ。 これは可視光を利用する光学顕微鏡の限界なのである。

    そこで今回はこれをさらに電子顕微鏡で観察してみよう。 電子顕微鏡を使えば光学顕微鏡よりもはるかに鮮明に観察することが可能なのだ。 その理由を一言で説明すると、電子線の波長は可視光に比べて桁違いに短いため分解能が上がるのである。 「分解能」とはこの場合、観察対象をどこまで細かく識別できるかを示す能力である。


    カラスのフン

    これが透過型電子顕微鏡 →

    新品で買うと数千万円もするが、一世代前の中古品なら意外に安価で購入できる。

    「なーんだ、だったら我が家にも設置しようかな。」 と、考える奇特な人もいるかもしれないので忠告しよう。

    まず高さ2.2m、重量は数百キロもあるので床の補強が必要。 そして電気代が半端じゃなく掛かることに加え、壊れる度に修理代は数十万円は必要になる。

    さらに付け加えると、使わないときも電源を入れておく必要があるのだ。


    それでは、カラスのフンを電子顕微鏡で観察しよう。

    カラスのフンの電子顕微鏡写真

    これは先ほどの顕微鏡写真のマルで囲った部分を電子顕微鏡で観察したものだ。 豆粒のように見えるのが腸内細菌である。 細菌(バクテリア)だからといって全て病原体なわけではなく、むしろほとんどが有益な共生体である。 光学顕微鏡では点にしかみえなかったものが、電子顕微鏡ではこのようにはっきりと確認できるのだ。 ただし、電子顕微鏡の画像は色の無いモノクロ画像となる。

    なぜ電子顕微鏡はモノクロ画像なの?

    光学顕微鏡はカラー画像だったのに電子顕微鏡はモノクロ画像になっている。 その理由は、電子顕微鏡は可視光ではなく電子線を利用しているため色彩を表現することが不可能なためである。 テレビや雑誌でカラーの電子顕微鏡画像を見かけることがあるが、あれは後から人為的に着色したニセモノである。


    さらに拡大してみよう。

    カラスのフンの電子顕微鏡写真

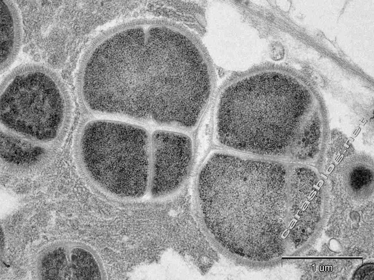
    無数にある細菌の中からひとつに注目してみよう。細菌は核やミトコンドリアを持たない原核生物である。そのためノッペリとした形態なので特に説明するところも無いが、これで一個の独立した細胞である。細胞を覆う黒い層がペプチドグリカンを含む細胞壁である。

    このように厚い細胞壁で囲まれた細菌をグラム陽性菌と呼ぶ。 生物学を習った人はグラム陽性とか陰性という言葉を聞いたことがあると思うが、これは「グラム染色」という技法で染色したときの結果(色)によって細菌を大まかに分類する検査法である。したがって、色の見えない電子顕微鏡でグラム染色を用いることはなく、専ら光学顕微鏡のための技法である。 しかし、グラム陰性/陽性というグループ名は共通のものとして残ったのだ。


    カラスのフンの電子顕微鏡写真

    そしてこちらがグラム陰性菌。

    グラム陽性菌で見られたような黒い層はこの菌にもあるが非常に薄い。


    カラスのフンの電子顕微鏡写真

    細胞壁を拡大してみよう。グラム陰性菌の細胞壁はこのように細胞膜を含めた三層構造になっているのだ。

    鳥類の場合、グラム陰性菌は悪玉菌とされることが多く、その存在割合を見るのも一つの判断基準となる。

    電子顕微鏡で判別できるならグラム染色などしなくてもいいのでは? と思った人もいるだろう。しかし、時間とコストの面でグラム染色して光学顕微鏡で観察した方がはるかに早く効率的である。ちなみに、現在では電子顕微鏡が診断に使用されることはほとんどない。 だから通常は医療現場に電子顕微鏡は無く、専ら研究用のツールとして研究所の地下室などで人知れず稼働しているのだ。


    カラスのフンの電子顕微鏡写真

    こちらの細菌の周囲には規則的な丸いものがたくさんある。


    拡大してみよう

    カラスのフンの電子顕微鏡写真

    これは形態的な特徴からウイルスであることは分かるが、それ以上の詳細は不明である。おそらく無害の常在ウイルスだろう。


    カラスのフンの電子顕微鏡写真

    偶然にも細菌と並んでいるのでそのサイズの違いがよく分かる。

    生命の最小単位は細胞であり細菌もまた生命体である。しかしウイルスは自己増殖ができず、細胞に寄生し細胞側の機能を利用して増殖している。

    したがってウイルスは生命体ではない。


    カラスのフンの電子顕微鏡写真

    別の場所を見ると半球が合体したような細菌が見つかった。


    カラスのフンの電子顕微鏡写真

    これはブドウ球菌である。ブドウ球菌と聞くと、皮膚を化膿させたり食中毒をおこしたりと悪いイメージがある。 しかしブドウ球菌にも様々なものがあり、たいていは無害である。


    カラスのフンの電子顕微鏡写真

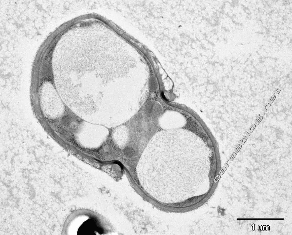
    これは今まで見てきた細菌とはずいぶん異なり、細胞内に様々なものがある。 これは細菌ではなく酵母(真菌)の仲間である。


    カラスのフンの電子顕微鏡写真

    分厚い細胞壁で覆われた内部にはミトコンドリアや核を持っている。 さらには消化や貯蔵をおこなう液胞まで備えているのだ。 細菌とは異なり比較的に高等な細胞といえる。

    真菌が原因となる病気も多いが、飼い鳥が無症状の場合は特に気にする必要もないだろう。


    他にはどんなものがあるのかな?

    カラスのフン

    最初に見た顕微鏡画像に幾何学的な形をしたものがあったので、気になった人もいると思う。 感の良い人なら分かると思うが、これはカラスの羽毛の一部である。 毛づくろいのときに飲み込んだものが、消化されずにそのまま出てきたのだ。


    カラスの羽毛の電子顕微鏡写真

    電子顕微鏡で見るとこのように見える。

    光学顕微鏡では透明のストローのように見えたが、実際は意外と頑丈そうな構造なのだ。


    カラスの羽毛の電子顕微鏡写真

    拡大すると見えてくる黒い粒子はメラニン顆粒だ。メラニンはカラスの黒色の元である。 羽毛はケラチン線維が硬化したもので非常に丈夫である。 そのため、まったく消化されずにフンに混ざって排出されるのだ。

    その他、植物の花粉や種子なども消化されずにそのまま排出される。 鳥によって運ばれた種子は発芽能力を残したまま排出され、新たな場所で芽を出すのだ。


    ところで「カラスのフン」はどこに?

    ここまでは様々な微生物や未消化物を見てきたが、ところでタイトルの「カラスのフン」はいったいどこにあるのか?

    その正体は、これまで見てきた画像にあったのだ。

    カラスのフンの電子顕微鏡写真

    これまで見てきた画像に写りこんでいたホコリのような模様こそが、フンを構成する主役なのだ。 排泄物とは、食べたものが胃や腸で吸収された残りカスというイメージがある。もちろんそれも含まれるのだが、それよりも体内で不要になった細胞や腸内細菌の死骸などの方が多く含まれるのだ。 画像に写っているホコリのようなものはそれらが分解された残骸である。


    次回の更新をお楽しみに。

    ホーム

    更新履歴

    2020年4月29日 2020年改訂版を公開 改訂前はこちら

    2016年12月3日 公開

    お知らせ
    News
    ブログ